Sunday, March 3, 2013

Question 6

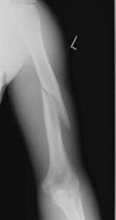
6.  Your patient is a 24 year old male that presents with the following x ray below. Which of the following nerve injuries have been associated with this type of injury?


A.  Median Nerve

B.  Ulnar Nerve

C.  Axillary Nerve

D.  Radial Nerve


No comments:

Post a Comment